Ung thư biểu mô đám rối màng mạch là gì?
Ung thư biểu mô đám rối màng mạch là khối u ác tính phát sinh từ đám rối màng mạch. Ung thư biểu mô đám rối màng mạch (còn gọi là ung thư biểu mô đám rối mạch mạc; tiếng Anh: choroid plexus carcinoma) là một khối u não ác tính (ung thư) hiếm gặp, xảy ra chủ yếu ở trẻ em.
Ung thư biểu mô đám rối màng mạch bắt đầu gần mô não tiết ra dịch não tủy. Một khối u không phải ung thư của khu vực này được gọi là u nhú đám rối màng mạch (choroid plexus papilloma). Khi khối u to lên, nó sẽ ảnh hưởng đến chức năng của các cấu trúc lân cận trong não, gây ra tình trạng dư thừa chất lỏng trong não (não úng thủy), khó chịu, buồn nôn hoặc nôn và đau đầu.
Việc điều trị và cơ hội phục hồi (tiên lượng) tùy thuộc vào kích thước, vị trí của khối u, liệu nó có lan rộng hay không, tuổi và sức khỏe tổng quát của con bạn.
Chẩn đoán ung thư biểu mô đám rối màng mạch
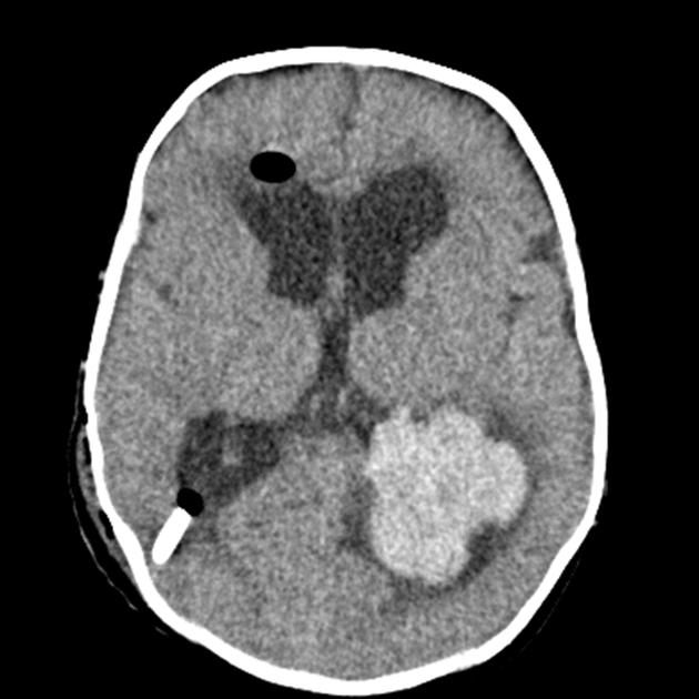
Ung thư biểu mô đám rối màng mạch thường xảy ra ở trẻ em dưới 2 tuổi. Các xét nghiệm và thủ thuật được sử dụng để chẩn đoán ung thư biểu mô đám rối mạch mạc bao gồm:
- Khám sức khỏe. Việc chẩn đoán ung thư biểu mô đám rối màng mạch thường bắt đầu bằng việc xem xét tiền sử bệnh và khám thần kinh. Thị giác, thính giác, khả năng thăng bằng, phối hợp và phản xạ của con bạn sẽ được kiểm tra.
- Kiểm tra não bằng hình ảnh. Các xét nghiệm để tạo ra hình ảnh về não của bạn có thể bao gồm chụp cộng hưởng từ (MRI) và chụp cắt lớp vi tính (CT). Chụp cộng hưởng từ cũng giúp bác sĩ lập kế hoạch phẫu thuật.
- Xét nghiệm di truyền (xét nghiệm gene). Có sẵn các xét nghiệm để xác định các khía cạnh di truyền của một số ca ung thư biểu mô đám rối màng mạch. Hãy hỏi bác sĩ về khả năng di truyền của bệnh.

Việc điều trị cho trẻ em thường khác với điều trị cho người lớn. Nếu con bạn được chẩn đoán có ung thư biểu mô đám rối màng mạch, hãy yêu cầu bác sĩ giới thiệu bạn đến một chuyên gia điều trị u não cho trẻ em (bác sĩ chuyên khoa thần kinh nhi khoa, bác sĩ chuyên khoa ung thư nhi khoa).
Điều trị ung thư biểu mô đám rối màng mạch
Phương pháp điều trị ung thư biểu mô đám rối mạch mạc thường là phẫu thuật, sau đó là hóa trị, xạ trị, hoặc cả hai.
- Phẫu thuật. Mục tiêu của phẫu thuật là cắt bỏ toàn bộ khối u nếu có thể. Nhưng vì các cấu trúc tinh vi và quan trọng có thể ở gần khối u, nên bác sĩ đôi khi không thể cắt bỏ toàn bộ khối u. Nói chung, những người trải qua phẫu thuật ung thư biểu mô đám rối màng mạch sẽ cần điều trị bổ sung sau phẫu thuật.
Sau khi phẫu thuật, khoảng một nửa số người có chất lỏng dư thừa trên não (não úng thủy) sẽ giảm bớt triệu chứng này. Những người khác có thể cần đặt ống dẫn lưu tạm thời (shunt) tại vị trí phẫu thuật.
- Hóa trị. Hóa trị có thể được thực hiện, bên cạnh phẫu thuật và xạ trị, để giúp kiểm soát khối u.
- Xạ trị. Tia phóng xạ có thể được sử dụng sau phẫu thuật, ngay cả khi toàn bộ khối u đã được loại bỏ thành công. Phóng xạ cũng có thể được sử dụng sau đó nếu khối u phát triển trở lại.
Xạ trị sử dụng các chùm tia năng lượng mạnh, chẳng hạn như tia X và proton, để tiêu diệt các tế bào khối u. Các công nghệ tiên tiến như xạ phẫu lập thể (stereotactic radiosurgery), liệu pháp proton, xạ trị điều biến cường độ (intensity-modulated radiation therapy) và xạ trị trong phẫu thuật (intraoperative radiation therapy) sẽ giúp điều trị ung thư hiệu quả mà không làm tổn thương các mô khỏe mạnh, chẳng hạn như mắt, dây thần kinh thị giác, não, thân não và tủy sống.
- Các thử nghiệm lâm sàng. Các thử nghiệm lâm sàng là các nghiên cứu về phương pháp điều trị mới. Hãy hỏi bác sĩ về việc tham gia để thử nghiệm một phương pháp điều trị mới.




