Bệnh giả gout là gì?
Bệnh giả gout (pseudogout) là một dạng viêm khớp, có đặc trưng là một hoặc nhiều khớp sưng và đau đột ngột. Các đợt sưng và đau có thể kéo dài nhiều ngày hoặc nhiều tuần.
Tên gọi chính thức của bệnh giả gout là bệnh lắng đọng canxi pyrophosphate. Nhưng tình trạng này thường được gọi là bệnh giả gout vì nó giống như bệnh gout. Trong cả bệnh giả gout và bệnh gout, các tinh thể lắng đọng hình thành trong khớp, mặc dù mỗi bệnh có loại tinh thể khác nhau.
Các bác sĩ không biết rõ tại sao các tinh thể hình thành trong khớp và gây ra bệnh giả gout, nhưng nguy cơ mắc bệnh này tăng theo tuổi tác. Các phương pháp điều trị có thể giúp giảm đau và giảm viêm.

Triệu chứng bệnh giả gout
Bệnh giả gout thường xảy ra ở đầu gối. Ít thường xuyên hơn, nó xảy ra ở cổ tay và mắt cá chân. Khi bệnh giả gút xảy ra, các khớp bị ảnh hưởng thường sẽ:
- Sưng lên
- Có cảm giác ấm, nóng
- Rất đau
Khi nào cần đi khám?
Hãy đi gặp bác sĩ nếu khớp của bạn bị sưng và đau đột ngột, dữ dội.
Nguyên nhân của bệnh giả gout
Bệnh giả gout có liên quan đến sự hiện diện của các tinh thể canxi pyrophosphate dihydrate trong khớp. Những tinh thể này sẽ hình thành nhiều hơn khi con người già đi. Các tinh thể này xuất hiện ở gần một nửa dân số trên 85 tuổi. Nhưng hầu hết những người có những tinh thể lắng đọng này không bao giờ phát triển bệnh giả gout. Các bác sĩ không biết rõ tại sao một số người có triệu chứng, còn những người khác thì không.
Các yếu tố rủi ro
Các yếu tố làm tăng nguy cơ mắc bệnh giả gout bao gồm:
- Lớn tuổi hơn. Nguy cơ phát triển bệnh giả gout tăng theo độ tuổi.
- Chấn thương khớp. Chấn thương khớp, chẳng hạn như một chấn thương nghiêm trọng hoặc do phẫu thuật, làm tăng nguy cơ xảy ra bệnh giả gout ở khớp đó.
- Rối loạn di truyền (gene). Ở một số gia đình, các thành viên trong gia đình có khuynh hướng bị bệnh giả gout do di truyền. Những người này có xu hướng phát triển bệnh giả gout ở độ tuổi trẻ hơn.
- Mất cân bằng khoáng chất. Nguy cơ mắc bệnh giả gout cao hơn ở những người có quá nhiều canxi hoặc sắt trong máu, hoặc có quá ít magiê.
- Có các bệnh lý khác. Bệnh giả gout cũng có liên quan đến tuyến giáp hoạt động kém hoặc tuyến cận giáp hoạt động quá mức.
Biến chứng của bệnh giả gout
Các tinh thể gây ra bệnh giả gout cũng có thể gây tổn thương khớp, tạo ra các dấu hiệu và triệu chứng giống với bệnh viêm xương khớp hoặc viêm khớp dạng thấp.
Chẩn đoán bệnh giả gout
Các triệu chứng của bệnh giả gout có thể giống các triệu chứng của bệnh gout và các loại viêm khớp khác, vì vậy bác sĩ thường phải thực hiện các xét nghiệm hình ảnh và xét nghiệm trong phòng thí nghiệm để khẳng định chẩn đoán.
Các xét nghiệm
Bác sĩ sẽ yêu cầu bạn xét nghiệm máu để tìm các vấn đề với tuyến giáp và tuyến cận giáp của bạn, và tìm sự mất cân bằng khoáng chất có liên quan đến bệnh giả gout.
Để kiểm tra xem chất lỏng trong khớp bị ảnh hưởng có tinh thể hay không, bác sĩ có thể hút một mẫu chất lỏng bằng kim. Thủ thuật này được gọi là chọc hút dịch khớp (arthrocentesis).
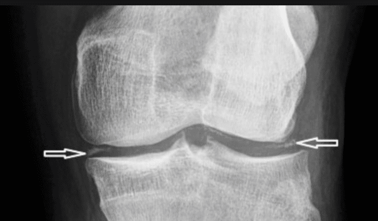
Phim chụp X-quang khớp bị ảnh hưởng có thể tiết lộ tổn thương khớp và các tinh thể lắng đọng trong sụn khớp.


Điều trị bệnh giả gout
Không có cách chữa khỏi bệnh giả gout, nhưng sự kết hợp các phương pháp điều trị có thể giúp giảm đau và cải thiện chức năng của khớp.
Thuốc
Nếu thuốc giảm đau không kê đơn không có tác dụng, bác sĩ của bạn có thể đề xuất:
- Thuốc chống viêm không steroid (nonsteroidal anti-inflammatory drugs). Các thuốc chống viêm không steroid mạnh và cần kê toa bao gồm naproxen (Naprosyn) và indomethacin (Indocin). Các thuốc chống viêm không steroid có thể gây chảy máu dạ dày và làm giảm chức năng thận, đặc biệt ở người lớn tuổi.
- Colchicine (Colcrys, Mitigare). Thuốc viên liều thấp của loại thuốc trị gout này cũng có hiệu quả đối với bệnh giả gout. Nếu bạn thường xuyên bị bệnh giả gout, bạn có thể được khuyên dùng colchicine hàng ngày như một biện pháp phòng ngừa.
- Corticosteroid. Nếu bạn không thể dùng thuốc chống viêm không steroid hoặc colchicine, bác sĩ của bạn có thể đề nghị dùng thuốc viên corticosteroid, chẳng hạn như prednisone, để giảm viêm và chấm dứt một đợt bệnh. Việc sử dụng thuốc corticosteroid lâu dài có thể làm yếu xương và gây đục thủy tinh thể, tiểu đường và tăng cân.
Giảm bớt dịch khớp
Việc loại bỏ một lượng dịch khớp có thể làm giảm đau và giảm áp lực ở khớp bị ảnh hưởng. Một cây kim được sử dụng để loại bỏ chất lỏng. Quá trình này cũng giúp loại bỏ một số tinh thể ra khỏi khớp. Khớp sau đó được tiêm thuốc tê và corticosteroid để giảm viêm.
Biện pháp khắc phục tại nhà
Các phương pháp điều trị tại nhà có thể hữu ích trong các đợt bùng phát bệnh giả gout. Bạn có thể sử dụng các biện pháp sau:
- Dùng thuốc chống viêm không steroid không kê đơn. Các thuốc chống viêm không steroid không kê đơn như ibuprofen (Advil, Motrin IB, những thuốc khác) và naproxen sodium (Aleve), thường có hiệu quả.
- Để khớp nghỉ ngơi. Cố gắng không sử dụng khớp bị ảnh hưởng trong vài ngày.
- Chườm nước đá. Chườm lạnh có thể giúp giảm viêm do bệnh bùng phát.
Chuẩn bị cho cuộc hẹn khám
Có thể bạn sẽ gặp một bác sĩ đa khoa trước tiên. Sau khi kiểm tra ban đầu, bác sĩ có thể giới thiệu bạn đến một chuyên gia chẩn đoán và điều trị viêm khớp và các tình trạng viêm khớp khác.
Đây là một số thông tin để giúp bạn sẵn sàng cho cuộc hẹn khám.
Những gì bạn cần làm
Trước cuộc hẹn, bạn hãy viết ra các câu trả lời cho các câu hỏi sau:
- Khi nào các triệu chứng của bạn bắt đầu?
- Bạn đã có những triệu chứng này trước đây chưa?
- Có bất kỳ cử động hoặc vị trí nào làm cho khớp của bạn cảm thấy đỡ đau hơn hoặc bị đau hơn?
- Bạn đã bao giờ bị chấn thương ở khớp này chưa?
- Bạn có bệnh nào khác không?
- Có ai trong gia đình bạn có vấn đề về khớp không?
- Bạn thường dùng những loại thuốc hoặc thực phẩm bổ sung nào?
Những gì bác sĩ sẽ hỏi
Khi khám, bác sĩ có thể hỏi bạn những câu hỏi sau:
- Triệu chứng của bạn là gì?
- Bộ phận hoặc cơ quan nào của cơ thể bạn bị ảnh hưởng?
- Các triệu chứng của bạn xuất hiện và biến mất?
- Các triệu chứng kéo dài bao lâu?
- Các triệu chứng của bạn có tồi tệ hơn theo thời gian không?
- Có điều gì dường như gây ra các triệu chứng của bạn không, chẳng hạn như chấn thương, sử dụng khớp quá mức, mất nước, phẫu thuật gần đây hoặc các bệnh khác?
- Bạn đã thử phương pháp điều trị nào? Có tác dụng gì không?




